Idiopathische longfibrose: Hardnekkige obstakels

Idiopathische longfibrose: Hardnekkige obstakels  

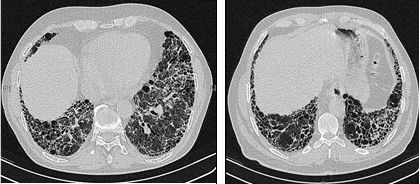
Al in 2017 werd in een parlementaire resolutie opgeroepen tot betere zorg voor idiopathische longfibrose (IPF), een zeldzame en ernstige ziekte. Acht jaar later staat het probleem opnieuw op de agenda.

Sorry, dit is een premium artikel

Dit artikel is exclusief beschikbaar voor abonnees. Abonneer je nu en krijg toegang tot alle artikels.

Ontdek onze abonnementsformules
Kleurenschema
Aantal tegels per rij
Beeldverhouding
Weergave
Hoeken afronden
0

Welkom bij Metallerie 

Metallerie maakt gebruik van cookies om uw gebruikservaring te optimaliseren en te personaliseren. Door gebruik te maken van deze website gaat u akkoord met Het privacy- en cookiebeleid.